Resultaten

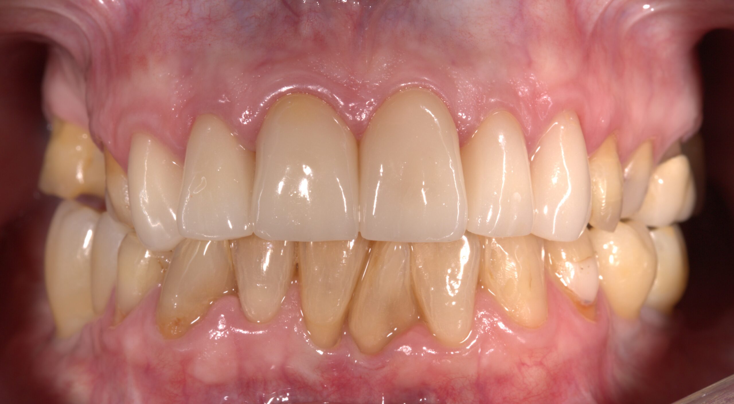
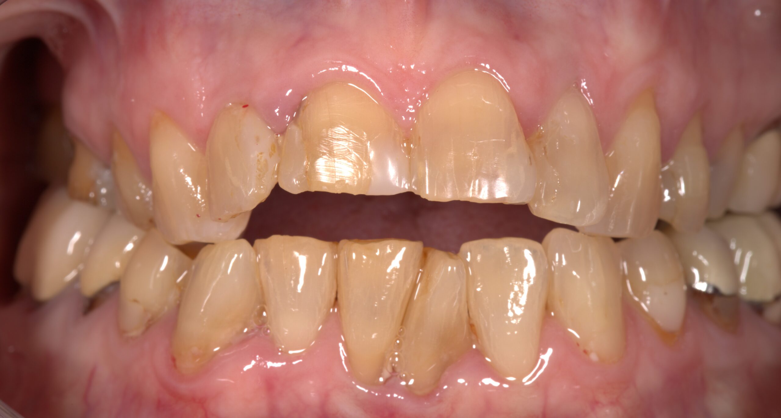
Composiet facings

schuif de lijn om voor en na te zien.

Keramische facings & implantologie

schuif de lijn om voor en na te zien.

Frontvulling

schuif de lijn om voor en na te zien.

Privacyoverzicht

Deze site maakt gebruik van cookies, zodat wij je de best mogelijke gebruikerservaring kunnen bieden. Cookie-informatie wordt opgeslagen in je browser en voert functies uit zoals het herkennen wanneer je terugkeert naar onze site en helpt ons team om te begrijpen welke delen van de site je het meest interessant en nuttig vindt.